20 de noviembre de 2025

Nacionales 31/03/2025

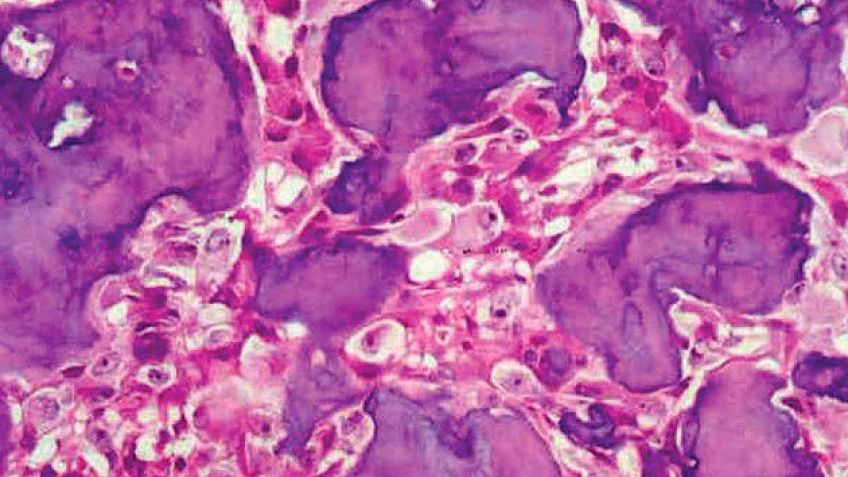
Qué es el osteoblastoma, un tumor que saltó a la fama recientemente

Aunque es benigno, tiene consecuencias perjudiciales

A Julio Iglesias le sucede lo que a todos los artistas de fama mundial. Cada semana, periodistas, streamers y conocidos del cantante, se lanzan con hipótesis sobre su estado de salud y decretan cuál es el presente por el que está pasando. La última novedad fue revelada por el periodista español Carlos Herrera, que en el programa "Poniendo las calles", reveló que si bien de la cintura para arriba estaba bien, de la cintura para abajo Iglesias "tiene 100 años". A partir de aquí comenzaron las especulaciones, tanto que el propio autor de la hipótesis debió retractarse: "Es un cáncer benigno muy puñetero. Eso le ocurrió, pero no lo tiene ahora. Lo tuvo cuando fue operado poco después de ese accidente de tráfico. Ahora no tiene ninguno". De una manera u otra, no deja de ser una buena excusa para divulgar en qué consiste la enfermedad.

El cantante español Julio Iglesias, a priori, tiene osteoblastoma, un tumor que afecta su columna vertebral y puntualmente perjudica su movilidad. Como en general el tumor es benigno, no se lo considera cáncer, aunque sí produce inflamación y puede ser muy doloroso. Además, complica el normal desenvolvimiento de las articulaciones y debilita los huesos.

Iglesias tiene 81 años y en el presente afronta la enfermedad con la ayuda de médicos y fisioterapeutas que cuidan su salud, y tratan de garantizar la mejor calidad de vida posible. El desgaste es progresivo y, según advierten en periódicos españoles, modificó el perfil activo por el que se destacaba en el pasado. Por la localización del tumor, puede que el artista enfrente desde serias dificultades para caminar y trasladarse, hasta escoliosis y síntomas neurológicos.

Según refiere la Cleveland Clinic de Estados Unidos el osteoblastoma es "un tumor, por lo general benigno, que sin embargo puede causar dolor e inflamación". El tumor óseo incrementa las chances de que el paciente afronte fracturas o cualquier tipo de lesión en la zona. Los tratamientos incluyen cirugía para extirpar la masa del cuerpo. Cabe destacar que luego de la intervención quirúrgica algunos osteoblastomas pueden volver a emerger, especialmente si el cirujano no logró una práctica capaz de eliminar la totalidad del tumor.

Daniel Alonso, investigador del Conicet y referente del Centro de Oncología Molecular y Traslacional (COMTra) de la Universidad Nacional de Quilmes, brinda más detalles a Página 12. "Es un tumor bastante poco frecuente. En general afecta a adultos jóvenes y la enfermedad avanza a medida que la persona crece". Y continúa: "Al ser benigno no genera diseminación ni metástasis, pero puede presentar un comportamiento que a nivel local sea muy agresivo".

Cuando el tumor óseo crece, ataca las regiones sanas y crea un osteoide, es decir, un nuevo tejido. Aunque puede aparecer en cualquier parte del cuerpo, lo más común es que lo haga en la columna vertebral -como aparentemente es el caso de Iglesias-, manos y piernas. Es poco frecuente, emerge principalmente en los hombres y se estima que tan solo representa el 3 por ciento de los tumores benignos diagnosticados. Alonso plantea al respecto: "La mayor parte de los casos se ven en la columna vertebral y su evolución puede ser muy disruptiva para la persona. Genera deformidad, compresión y dolor".

El osteoblastoma se distingue de otro tipo de tumor que suele estar más en boca de médicos y profesionales de la salud. "Hay que hacer una diferencia con el osteosarcoma. En este caso, se trata de un cáncer de hueso metastásico, es decir maligno. Es, de hecho, el tumor de hueso más frecuente en niños y adolescentes (menores de 20 años)", dice Alonso. Según la Clínica Mayo, de referencia en el área, los síntomas tradicionales del osteosarcoma son el dolor de huesos y articulaciones, así como también hinchazón cerca del hueso. Como las personas que lo padecen suelen estar en edad de crecimiento, la sintomatología del cáncer podría confundirse con otras sensaciones de malestar físico general asociadas a este período evolutivo normal.

El año pasado, ante difamaciones por el estilo, Iglesias compartía en sus redes sociales: "Estoy muy preocupado por todo lo que causa el haber elegido un pequeño tiempo de soledad. De una manera mal educada para aquellos que han hecho dudar de mi salud, les diría que estoy DPM, pero para las gentes que me quieren de verdad por tantos años, decirles que nunca he tenido mi mente más clara, escribiendo mis memorias y les agradezco con toda mi alma, su cariño de siempre. No puedo creerme tanta especulación por no querer hacer entrevistas en estos momentos. Vuelvo a leer por todos los sitios, que estoy en una silla de ruedas, con la mente perdida y que ni siquiera recuerdo mis canciones, como se puede ser tan mal intencionado y acumular tanta maldad".

Copyright © 2015 | La Síntesis - El primer diario digital de Saladillo